Family Dentist in Maspeth

Dentistry Before and After Photos

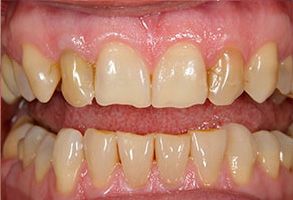
before

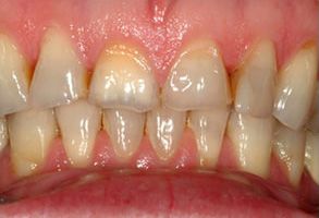
Before

Ballard Dentistry | Emergency Treatment, Extractions and ZOOM  Whitening

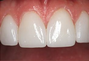
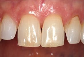
After

Ballard Dentistry | Dental Bridges, ZOOM  Whitening and Preventative Program

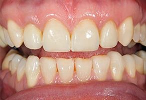
Before

Ballard Dentistry | Oral Cancer Screening, Pediatric Dentistry and Dental Cleanings

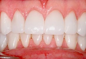
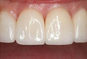
After

Ballard Dentistry | Dental Fillings, Snoring Appliances and Sports Mouthguards

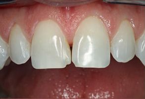
Before

Ballard Dentistry | Snoring Appliances, Dental Fillings and Sedation Dentistry

After

Ballard Dentistry | Implant Dentistry, Teeth Whitening and Preventative Program

Before

Ballard Dentistry | Digital Radiography, Preventative Program and Dental Fillings

After

Ballard Dentistry | Invisalign reg , Night Guards and Pediatric Dentistry

Before

Ballard Dentistry | Sports Mouthguards, Oral Cancer Screening and Invisalign reg

After

Ballard Dentistry | Digital Radiography, Digital Impressions and Dental Fillings

Before

Ballard Dentistry | Teeth Whitening, Night Guards and Dentures

After

Ballard Dentistry | Implant Dentistry, Oral Exams and Dental Bridges

Before

Ballard Dentistry | Oral Exams, Extractions and Preventative Program

After

Schedule a visit today!
Contact Us
Submit

Thank You!

We appreciate you taking the time to visit our site. We'll review your message and be in touch with you soon.

Continue
Dentist in Maspeth